Pleural Mesothelioma

Pleural Mesothelioma / Peritoneal Mesothelioma

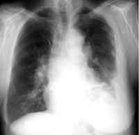
Cancer of the lung liningThe most common place for mesothelioma to develop is in the mesothelial membrane, also called the pleural lining, surrounding the lungs. About two-thirds of all mesothelioma cases develop in the pleural mesothelium or lung lining. Pleural mesothelioma is also known as cancer of the lung lining.

The remaining cases, about one-third, develop in the peritoneal mesothelium in the abdomen (peritoneal mesothelioma). Rarely, mesothelioma occurs in other mesothelial tissue, such as around the heart or in the reproductive organs (pericardial mesothelioma).

Get your FREE Lung Cancer Info Packet Lung Cancer Info Packet